MRI装置は磁石を利用して、X線被ばくなしで人体の情報を得る装置です。 MRIはその特殊性からさまざまな事故の報告もなされてきています。近年では、MRI装置の普及に伴いその強力な磁場に磁性体(磁石にくっつくもの)が引きつけられる事故が増えてきています。

MR室に立入る際には以下のようなものは持ち込まないよう必ずチェックしてください 。

  • ・筆記用具類(ボールペン、シャープペンシル、ハサミ等)
    ・装身具(ベルト、ネックレス、イヤリング、ヘアピン、時計、安全ピン、入れ歯、コンタクトレンズ(酸化鉄を含んだものがあります)、鍵等)
    ・磁気記録媒体(カード類、フロッピーディスク等)
    ・MRI専用工具以外の工具
    ・清掃業者の掃除器具(床みがきポリッシャー等)
    ・その他磁性体と思われるもの
    入口に金属チェック機器がありますので必ずチェックしてください。

MR室内に患者様を搬送する際は・・

  • ・ストレッチャー、車椅子は必ず専用のものを使用してください
    ・酸素ボンベははずして、持ち込まないでください
    ・モニター等もはずして、持ち込まないでください

  • これらは必ずお守りください。不明な点は事前に担当医師や担当技師にご確認ください。
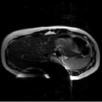
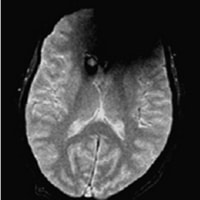
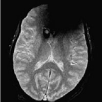
     患者様を案内又は搬送する際は、患者様の金属の有無について十分注意をお願いします。金属が体内に入っている方や、 身につけている方は写真上に影響が出ると同時に体内金属が動いたり、発熱したりする場合があり危険な場合があります。 金属があった場合の症例を提示します。 
ヘアピンによる影響
磁気健康器具による影響
下着の金具による影響
(画像提供:太田綜合病院附属 太田西ノ内病院)

HOME | MRI磁場の危険性